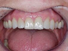
Zahnersatz perfekt und dennoch natürlich
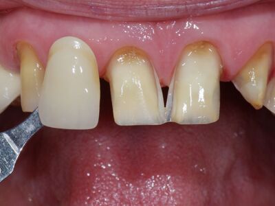
Für ästhetisch anspruchsvolle Arbeiten haben wir eine separate Abteilung mit einem eingespielten Spezialisten-Team in unseren Reihen.
Unsere Experten in Sachen Keramikverarbeitung und Verblendungen sind zugleich auf die Zusammenarbeit mit Zahnarzt und Patient bestens eingestellt – ob bei Terminen vor Ort in Ihrer Praxis oder im Labor.
In unserem modern ausgestatteten Patientenraum empfangen wir häufig Patienten – zum Beispiel zur Zahnfarbnahme, Ästhetik-Einprobe, Wax-up, Mock-up oder auch zur zahntechnischen Beratung. Dabei bieten wir auch einen individuellen Fahrservice.
Auf Wunsch und nach Absprache bieten wir Ihnen auch eine Ästhetik-Sprechstunde für Patienten bei Ihnen in der Praxis oder bei uns im Labor.
Leistungen
- Experten für Keramik-Verarbeitungen
- Zusammenarbeit mit Zahnarzt und Patient
- Behandlung in unserem eigenen Patientenraum
Unsere Leistungen im Überblick
Digitale Zahntechnik
Für den Zahnersatz bringt die Digitalisierung viele Vorteile hinsichtlich Qualität, Schnelligkeit und Wirtschaftlichkeit.
Gefräster Zahnersatz
Unsere Leistungen im Bereich CAD/CAM finden Sie hier im Überblick.
Implantat-Prothetik
Unser Labor steht für durchdachte Implantat-Planung und vielseitige Umsetzungsmöglichkeiten.
Zahnästhetik
Für ästhetisch anspruchsvolle Arbeiten haben wir eine separate Abteilung mit einem eingespielten Spezialisten-Team.
Zahnkorrektur
Als unauffällige Therapie zur Korrektur von Zahnfehlstellungen bietet die Aligner-Technologie klare Vorteile.
Nehmen Sie Kontakt auf
Sie haben Fragen oder wünschen einen Termin?
Dann rufen Sie uns an oder senden Sie uns eine E-Mail.
Service
Für Zahnarzt, Praxisteam und Patient
- Kundenservice
- Einschleif-Minimierung
- Info-Flyer "Update"